- Domů
- Zdravotní problémy dítěte
- Celoživotní a závažná onemocnění
- Vrozené vývojové vady
- Vrozené rozštěpové vady neurální trubice plodu
Vrozené rozštěpové vady neurální trubice plodu
Autor/ka: MUDr. Veronika Frisová, Ph.D.
Datum publikace: 29. 07. 2013, Aktualizováno: 20. 03. 2023
Jaké existují druhy vrozených rozštěpových vad neurální trubice?
K hlavním typům rozštěpových vad neurální trubice patří:
- Akranie/anencefalie
akranie = chybění lebečního krytu s výhřezem mozkových struktur
anencefalie = chybění lebečního krytu a mozkové tkáně nad úrovní očnic, tato vada je zpravidla následkem předchozí akranie, při které toxické působení plodové vody zničí vyhřezlou mozkovou tkáň
- Cefalokéla, tedy různě velký defekt lebního krytu s výhřezem nitrolebních struktur
(meningo)encefalokéla = výhřez mozkových struktur a mozkových blan
meningokéla = výhřez pouze mozkových blan
- Spina bifida, tedy rozštěp páteře (obrázek č. 1):
Spina bifida aperta = takzvaný otevřený rozštěp páteřních obratlů s výhřezem míšních obalů a míšní tkáně (myelomeningokéla nebo pouze meningokéla)
Spina bifida occulta = takzvaný uzavřený rozštěp páteřních obratlů, při kterém nedochází k výhřezu míšních obalů a míšní tkáně
Obrázek č. 1.: Hlavní typy rozštěpových vad páteře.
Jak častý je výskyt vrozených rozštěpových vad neurální trubice?
Rozštěpové vady neurální trubice patří k nejčastějším typům vrozených vad a postihují přibližně 1.4–1.6 z 1 000 novorozenců. V časném těhotenství jsou tyto vady častější, jsou totiž přítomny u přibližně tří procent spontánních potratů v prvním trimestru těhotenství.
Frekvence výskytu rozštěpových vad neurální trubice významně závisí na rasové příslušnosti (častější je výskyt u bílé než černé populace), na geografické lokalitě (nejvyšší prevalence je udávána ve Velké Británii a nejnižší v Japonsku) a na socioekonomické vrstvě (častější je výskyt u chudé populace trpící podvýživou).
Kdy vrozené rozštěpové vady neurální trubice vznikají?
Vrozené rozštěpové vady neurální trubice vznikají poruchou uzávěru neurální trubice mezi 3.–4. embryonálním týdnem (5.–6. týdnem těhotenství datovaného dle data prvního dne poslední menstruace).
Souvisí spolu výskyt různých typů vrozených rozštěpových vad plodu?
Nebyla dosud prokázána příčinná souvislost mezi vznikem rozštěpových vad neurální trubice, obličejových rozštěpů a rozštěpů břišní stěny. Každá z těchto vad vzniká poruchou vývoje jiných částí těla vyvíjejícího se plodu.
Jaké jsou příčiny vzniku vrozených rozštěpových vad neurální trubice?
Ke vzniku rozštěpové vady neurální trubice vede zpravidla společné působení více faktorů. V žádném případě si žádná těhotná žena nemůže klást za vinu, že k vrozenému rozštěpu neurální trubice došlo u plodu pouze kvůli ní.
Předpokládá se vliv genetické predispozice v kombinaci s více faktory vnějšího prostředí. Genetická predispozice ale neznamená přímo výskyt rozštěpové vady neurální trubice v rodinné anamnéze. Zhurba 90–95 procent těchto vad je totiž popisováno u novorozenců, v jejichž rodině nikdo z příbuzných vrozenou rozštěpovou vadou neurální trubice netrpěl.
Riziko vzniku rozštěpové vady neurální trubice je významně zvýšeno:
- Při výskytu rozštěpové vady neurální trubice v rodinné anamnéze (čtyřprocentní riziko při postižení jednoho přímého sourozence)
- Při onemocnění těhotné ženy cukrovkou nebo epilepsií s léčbou antiepileptiky obsahujícími valproáty a karbamazepiny v prvním trimestru těhotenství
- U řady chromozomálních vad (trizomie 13,18, triploidie a tak dál)
- U řady genetických syndromů (Meckelův syndrom, Fronto-nazální dysplazie a podobně)
- Při podvýživě s nedostatkem kyseliny listové ve stravě.
- Vrozené vývojové vady: nejdůležitější otázky a odpovědi
- Prenatální diagnostika vrozených vad plodu
- Jak se vyrovnat s postižením dítěte
Je možné snížit riziko vzniku vrozené rozštěpové vady neurální trubice plodu?
U rozštěpových vad neurální trubice byl opakovaně prokázán pozitivní vliv kyseliny listové na snížení frekvence výskytu těchto vad v populaci. Z tohoto důvodu se všem těhotným ženám doporučuje užívat v prvním trimestru těhotenství buď tablety s 0.4 mg kyseliny listové, nebo multivitaminové přípravky s obsahem 0.4 mg kyseliny listové. U plánovaných těhotenství je ideální zahájit užívání kyseliny listové již tři měsíce před otěhotněním.
Zvláště důležité je užívání kyseliny listové u těhotných žen, u kterých bylo předchozí těhotenství komplikováno výskytem rozštěpové vady neurální trubice. Tyto ženy by měly ideálně již tři měsíce před plánovaným otěhotněním a během celého prvního trimestru těhotenství užívat 4 mg kyseliny listové (tedy desetkrát více, než je běžné). Tím sníží riziko opakování vady přibližně o 70–75 procent, tedy na přibližně jedno procento.
Jak lze vrozené rozštěpové vady neurální trubice v průběhu těhotenství diagnostikovat?
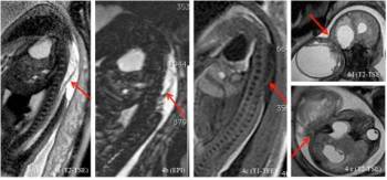
Základní metodou screeningu rozštěpových vad neurální trubice je v těhotenství klasické dvojrozměrné ultrazvukové vyšetření (obrázek č. 2 a 3). Upřesnit diagnostiku může umožnit trojrozměrný ultrazvuk (obrázek č. 3) a magnetická rezonance (obrázek č. 4).
Obrázek č. 2.: Standardní dvojrozměrné (2D) ultrazvukové vyšetření páteře a lebky plodu. Vyšetření páteře plodu v tzv. sagitální (2a), transversální (2b) a koronální (2c) rovině a vyšetření lebky plodu v transversální rovině (2d, a, e).
(Foto: MUDr. Veronika Frisová, Profema)
Obrázek č. 3: Trojrozměrné (3D) ultrazvukové vyšetření páteře plodu. Normální nález (3a) při 3D UZ vyšetření ve 21. týdnu těhotenství a abnormální nález (3b) při UZ vyšetření ve 32. týdnu těhotenství. Šipka na obrázku 3b směřuje k místu rozštěpové vady páteře typu spina bifida aperta (rozsáhlá meningomyelokéla).
(Foto: MUDr. Veronika Frisová, Profema)
Obrázek č. 4.: Vyšetření magnetickou rezonancí u plodu s rozsáhlým otevřeným rozštěpem páteře (spina bifida aperta- meningomyelokéla) (obrázek č. 4a–4c) a s rozsáhlou ecefalo-meningokélou (4d a 4e). Šipky směřují k defektu.
(Foto: MUDr. Veronika Frisová, Profema)
Bylo prokázáno, že opakovaným ultrazvukovým vyšetřením lze zachytit 100 procent otevřených defektů páteře a všechny případy anencefalie/akranie. Při otevřených defektech páteře upozorní zpravidla na výskyt vady páteře typické znaky na hlavě a v mozku plodu. Tyto znaky jsou při ultrazvukovém vyšetření rozpoznatelné mnohem snadněji než vlastní defekt páteře. Jedná se o takzvané „lemon sign“ (hlava tvaru citronu) a „banana sign“ (mozeček tvaru banánu). Bohužel uzavřené defekty páteře či lebky (tedy defekty kryté kůží bez výhřezu mozku a míchy) zůstanou často při ultrazvukovém vyšetření v těhotenství přehlédnuty. Tyto vady jsou naštěstí obvykle spojeny s dobrou prognózou. Postižení jedinci jsou většinou klinicky bez obtíží a vada je zjištěna náhodně při lékařském vyšetření pro neobvyklou pigmentaci kůže, výskyt hustého ochlupení nebo kožní výrůstek nad místem defektu páteře.
Dříve se screening vrozených rozštěpových vad neurální trubice prováděl prostřednictvím stanovení hladiny AFP v mateřském séru okolo 16. týdne těhotenství (triple test). Zvýšená koncentrace AFP totiž umožňuje zachytit přibližně osmdesát procent otevřených rozštěpů páteře a devadesát procent vad typu anencefalie. Těhotným ženám se zvýšenou koncentrací AFP v krvi byla doporučována amniocentéza (odběr plodové vody), která stanovením koncentrace AFP v plodové vodě vysoké riziko výskytu otevřeného typu defektu neurální trubice potvrdila, nebo vyloučila. Vlastní defekt pak bylo vždy nutno identifikovat ultrazvukem.
U většiny těhotných žen je zvýšená koncentrace AFP v krvi způsobena zakrvácením do plodové vody a případná amniocentéza zbytečně zvyšuje riziko potratu. Proto přestala být zvýšená koncentrace AFP v krvi těhotné ženy důvodem k provedení amniocentézy a odběr plodové vody by při zvýšené koncentraci AFP neměl být těhotným ženám doporučován. Místo amniocentézy by měl být provedený detailní genetický ultrazvuk. Standardní 2D (dvojrozměrné) ultrazvukové vyšetření může zpřesnit připojení 3D (trojrozměrného) ultrazvuku a magnetické rezonance.
Je u vrozených rozštěpových vad neurální trubice plodu častý výskyt dalších přidružených vrozených vad? Jakých?
Rozštěpové vady neurální trubice (kromě uzavřených defektů páteře) bývají obvykle spojeny s vrozenými vadami mozku plodu (ventrikulomegalie = nadměrné rozšíření mozkových komor, mikrocefalie = malá velikost mozku a lebky plodu, Arnold-Chiariho malformace = výhřez mozečku do páteřního kanálu a podobně). U uzavřených rozštěpových vad neurální trubice přidružené vrozené vady mozku plodu zpravidla chybí. Navíc zvyšují rozštěpy neurální trubice riziko současného postižení plodu chromozomální vadou nebo genetickým syndromem.
- Anencefalie/akranie bývá často spojena s defektem neurální trubice v oblasti páteře, dále s vrozenými vadami uropoetického systému, s obličejovými rozštěpy, vadami zažívacího traktu a srdce.
- Encefalokéla bývá kromě častého výskytu přidružených vad mozku občas spojena s výskytem obličejových rozštěpů.
- Spina bifida aperta (otevřený rozštěp páteře) bývá zpravidla sdružena s vrozenými vadami mozku plodu. Navíc jsou u ní časté poruchy postavení kloubů dolních končetin (ekvinovarózní postavení chodidel, noha tvaru kolébky, dislokace boků atd.)
- Spina bifida occulta (uzavřený rozštěp páteře) nebývá ve většině případů komplikována dalšími přidruženými vadami plodu.
Je u vrozených rozštěpových vad neurální trubice vhodné provést invazivní výkon (nejčastěji aminocentézu)?
Postižení plodu vrozeným rozštěpem neurální trubice zvyšuje riziko současného výskytu jeho chromozomálních vad, především trizomie 18, 13 a triploidie. Proto je invazivní výkon (nejčastěji amniocentézu, eventuálně kordocentézu či CVS) s vyšetřením chromozomální výbavy plodu vhodné provést.
Riziko výskytu chromozomální vady a genetických syndromů významně stoupá při kombinaci rozštěpu neurální trubice s dalšími vadami jiných systémů plodu. V takových případech je vhodné připojit k běžné cytogenetické analýze materiálu získaného invazivním výkonem (plodová voda, krev z pupečníku, klky placenty) i další speciální analýzu (speciální genetické sondy DNA, takzvané microarray a podobně). Bohužel řadu genetických syndromů nelze v těhotenství s jistotou žádnou metodou vyloučit.
Jaká je prognóza vrozených rozštěpových vad neurální trubice?
Prognóza vrozených defektů neurální trubice záleží na typu, rozsahu a lokalizaci vrozené vady. Bohužel, řada těchto vad je spojena se špatnou prognózou a je při včasné diagnóze důvodem k ukončení těhotenství.
- Anencefalie/akranie patří k letálním vrozeným vadám (vede k časnému úmrtí novorozence po porodu, občas i k úmrtí plodu během těhotenství).
- U encefalokély záleží prognóza na místě a rozsahu vady, na výskytu dalších přidružených vad a na možnostech neurochirurgické léčby po porodu. Obecně je přibližně ve třetině případů letální (smrtelnou) vadou a u přežívajících jedinců zvyšuje riziko rozvoje hydrocefalu (velká dilatace mozkových komor) s výskytem křečí, epilepsie a podobně. Výjimku tvoří malé samostatně se vyskytující defekty lebky s malým výhřezem mozkových blan (meningokéla). Tyto vady lze často po porodu dobře chirurgicky opravit a jsou spojeny s dobrou prognózou.
- Spina bifida aperta (otevřený defekt páteře) je v případě velkých defektů nebo při výskytu přidružených vrozených vad spojena s rizikem odumření plodu během těhotenství nebo novorozence po porodu. Většina přežívajících dětí trpí bohužel různě závažnými poruchami pohyblivosti (chůze, pohyby rukou – dle místa a rozsahu defektu v páteři) a poruchami vyprazdňování moče, stolice a sexuálních funkcí. I když není přítomen přímo mentální handicap, časté jsou problémy s učením a s integrací postiženého jedince do společnosti. V prvních letech života jsou navíc časté poruchy mimiky a pohybů očí a úst. Kromě uzavření defektu páteře neurochirurgy po porodu je zpravidla nutné již v prvním roce života zavést takzvaný shunt do mozkových komor a snížit tak nitrolební tlak. Prognóza může být v případě velmi malých defektů páteře i relativně dobrá. Nezbytné je vyšetřit v těhotenství ultrazvukem a magnetickou rezonancí co možná nejpřesněji rozsah a místo defektu páteře a vyloučit výskyt přidružených vad. Pediatrický neurochirurg pak u izolovaných defektů dokáže stanovit prognózu těhotenství, která usnadní rozhodování rodičů o dalším managementu.
- Spina bifida occulta (uzavřený rozštěp páteře) bývá při izolovaném výskytu vady zpravidla spojena s dobrou prognózou.
Jaký je vhodný management těhotenství při diagnóze vrozených rozštěpových vad neurální trubice plodu?
Řada vrozených rozštěpů neurální trubice je bohužel spojena se špatnou prognózou, a proto jsou tyto vady při včasné diagnóze před 24. týdnem těhotenství často důvodem k ukončení těhotenství.
V případě zjištění jakéhokoliv typu vrozeného rozštěpu neurální trubice je vhodné provést detailní ultrazvukové vyšetření plodu ve specializovaném centru prenatální diagnostiky (fetální medicíny). Cílem tohoto vyšetření je vyloučení výskytu přidružených vrozených vad plodu a určení rozsahu a místa defektu. K upřesnění rozsahu a místa defektu je výhodné využít i moderních zobrazovacích metod, a sice 3D (trojrozměrného) ultrazvuku a magnetické rezonance.
Následovat by měla genetická konzultace, během které je většině těhotných žen doporučen invazivní výkon (amniocentéza, CVS či kordocentéza) za účelem vyloučení přidružených chromozomálních vad plodu. Při kombinaci rozštěpové vady neurální trubice s vrozenými vadami dalších systémů plodu je vhodné připojit k běžné analýze plodové vody i další speciální molekulárně-genetické testy (DNA sondy, microarray a tak dál).
S výsledky detailního ultrazvukového vyšetření a magnetické rezonance by měli rodiče kromě genetické konzultace absolvovat i konzultaci u pediatrického neurochirurga, který dovede dle rozsahu a místa defektu vysvětlit rodičům předpokládané následky vady a možnosti její léčby po porodu.
Při pokračování těhotenství je vhodné plánovat porod ve specializovaném centru s dostupností péče specializovaných pediatrických odborníků krátce po porodu. Způsob a doba porodu by měly být určeny podle prognózy těhotenství (u otevřených defektů páteře a encefalokély je pro ochranu zdraví budoucího dítěte šetrnější zvolit porod císařským řezem okolo 37. týdne těhotenství).
Jaké jsou možnosti léčby vrozených rozštěpových vad neurální trubice?
Standardní jeoperační uzávěr vrozeného defektu neurální trubice krátce po porodu pediatrickými neurochirurgy. Většina dětí s otevřeným typem defektu páteře a encefalokélou potřebuje ještě během prvního roku života zavedení tzv. shuntu do mozkových komor. Důležitá je péče i řady dalších pediatrických odborníků (ortopedů, rehabilitačních pracovníků, neurologů a dalších).
V posledních letech došlo u otevřených rozštěpů páteře vývoji technik, které spočívají v uzavření defektu páteře plodu ještě v průběhu těhotenství. Jedná se o výkony takzvané otevřené fetální chirurgie (open fetal surgery). Tyto zákroky se nyní provádí v několika centrech USA a jejich vliv na prognózu těhotenství a možná rizika pro těhotnou ženu a její plod jsou teprve zjišťovány. První výsledky naznačují, že by tyto operace mohly mít pozitivní efekt na motorickou funkci dítěte (menší stupeň poruch pohyblivosti). Operace však prokazatelně zvyšují riziko předčasného porodu a s ním spojeného rizika handicapu dítěte z důvodu nezralosti. Navíc nejsou známy negativní důsledky výskytu jizvy na děloze na další reprodukční schopnosti žen (otěhotnění, riziko ruptury (prasknutí) dělohy a předčasného porodu během následujících těhotenství). Tyto chirurgické výkony v průběhu těhotenství nejsou dosud běžně dostupné. Nejsou zatím považovány za bezpečné a provádí se proto pouze u těhotenství s velmi špatnou prognózou a navíc jen v zemích, kde není ukončení těhotenství pro závažnou vrozenou vadu plodu možné.
Jaké je riziko opakování vrozené rozštěpové vady neurální trubice?
V případě diagnostiky vrozeného defektu rozštěpu neurální trubice stoupá riziko pro další těhotenství přibližně na čtyři procenta. Toto riziko lze snížit užíváním kyseliny listové (vitamin B) matkou – 4mg/denně – s počátkem medikace již tři měsíce před plánovaným otěhotněním.
Zaujal Vás článek a chcete každý měsíc dostávat informace o nových příspěvcích? Přihlaste se k odběru newsletteru!
Odebírat newsletter Sledovat na Facebooku
Tipy na další zdroje informací
Zaujalo vás toto téma? Máme pro vás tipy na další zdroje zajímavých informací z naší elektronické Odborné knihovny. Kromě knižních titulů vám nabízíme související výzkumy, legislativní dokumenty nebo audio- a videozáznamy z českých rádií a televizí. Jednoduše klikněte na knížku nebo záznam, který vás zaujal, a dozvíte se více. Další související literaturu najdete v naší Odborné knihovně.
Embryo screening could help parents avoid passing on inheritable diseases. CORDIS (Community Research and Development Information Service), 2011.
Audiozáznamy
- Prenatální diagnostika - MUDr. Ondřej Šimetka. Radio, ČRo Ostrava - Lékárna, 2012.
- Nejčastější chirurgicky léčené vrozené vady dětí - MUDr. Michal Rygl. Radio, ČRo 2 Praha - Rodinný lékař, 2010.
- Vše o těhotenství - MUDr. Jitka Řezáčová a MUDr. Eva Raušová. Radio, ČRo Regina - Třináctka, 2008.
- O prenatální diagnostice s MUDr. Veronikou Frisovou, Ph.D. Videozáznam, Nadace Sirius, 2013.
- Inkubátory a centrum rozštěpů - MUDr. Jan Janota. TV, Česká televize - Sama doma, 2010.
- Poradna pro rodiče dětí s rozštěpem - MUDr. Jitka Vokurková a Tereza Stehlíková. TV, Česká televize - Sama doma, 2009.
- Pobyt rodičů s dětmi v nemocnici - Operace rozštěpů patra u novorozenců. TV, Česká televize - Sama doma, 2007.
- Vývojové vady plodu - doc. MUDr. Zbyněk Straňák. TV, Česká televize - Sama doma, 2006.
- Jak se žije s handicapem. TV, Česká televize - Tykadlo, 2006.
- Vady u dětí - doc. MUDr. Zuzana Urbanová, CSc. TV, Česká televize - Sama doma, 2006.
Odkazy na sdružení rodičů dětí s vrozenou rozštěpovou vadou neurální trubice:
Pomohly vám informace v tomto článku?



