- Domů
- Zdravotní problémy dítěte
- Celoživotní a závažná onemocnění
- Vrozené vývojové vady
- Vrozené obličejové rozštěpy
Vrozené obličejové rozštěpy
Autor/ka: MUDr. Veronika Frisová, Ph.D.
Datum publikace: 30. 07. 2013, Aktualizováno: 20. 03. 2023
Jaké existují druhy vrozených obličejových rozštěpů?
Existuje několik různých klasifikací rozštěpů rtu, které jsou používány různými lékařskými obory.
Embryologové používají takzvanou embryologickou klasifikaci (obrázek č. 1), která vychází z prenatálního vývoje obličejových struktur. Při ní se rozštěpy dělí na:
- rozštěpy rtu,
- rozštěpy primárního patra,
- rozštěpy sekundárního patra.
Rozštěpy mohou být vždy jednostranné nebo oboustranné a navíc se mohou vzájemně kombinovat (např. pravostranný rozštěp rtu a primárního patra, oboustranný rozštěp rtu a primárního i sekundárního patra atd.)
V anatomii a občas i v gynekologii se používá především anatomická klasifikace (obrázek č.1), při které se rozštěpy dělí na:
- rozštěpy rtu (jednostranné či oboustranné),
- rozštěpy rtu a čelisti (jednostranné či oboustranné),
- rozštěpy rtu, čelisti a tvrdého patra (jednostranné či oboustranné),
- rozštěpy rtu, čelisti a tvrdého i měkkého patra (jednostranné či oboustranné),
- izolované (samostatné) rozštěpy tvrdého patra (jednostranné či oboustranné),
- izolované rozštěpy měkkého patra,
- izolované rozštěpy celého, tedy tvrdého i měkkého patra (jednostranné či oboustranné)
Obrázek č.1.: Embryologická a anatomická klasifikace obličejových rozštěpů
V gynekologii se při ultrazvukové diagnostice vrozených vad plodu také často používá zjednodušená klasifikace dle Nyberga (obrázek č. 2):
- rozštěpy rtu (jednostranné či oboustranné),
- rozštěpy rtu, čelisti a patra (jednostranné či oboustranné, s rozštěpem pouze tvrdého nebo i měkkého patra),
- centrální rozštěpy rtu a patra,
- izolované rozštěpy patra (jednostranné či oboustranné, s rozštěpem pouze tvrdého nebo i měkkého patra).
Obrázek č. 2.: Gynekologická klasifikace obličejových rozštěpů dle Nyberga
Jak častý je výskyt vrozených obličejových rozštěpů?
Rozštěpy rtu, kompletní rozštěpy rtu a čelisti a kompletní rozštěpy rtu, čelisti a patra patří k nejčastějším vrozeným vadám obličeje a postihují přibližně jednoho ze sedmi set novorozenců. Frekvence výskytu tohoto typu rozštěpů závisí na etnické příslušnosti a na pohlaví, šedesát až osmdesát procent těchto vad se vyskytuje u mužů.
Izolované rozštěpy patra jsou mnohem méně časté, postihují pouze přibližně jednoho z dvou tisíc novorozenců. Tento typ rozštěpových vad je častější u žen.
Kdy vrozené rozštěpové vady obličejové rozštěpy vznikají?
Typické rozštěpové vady obličeje vznikají poruchou formování primárního a sekundárního patra mezi šestým a devátým embryonálním týdnem (osmým až jedenáctým týdnem těhotenství datovaného dle data prvního dne poslední menstruace), nejkritičtějším obdobím pro vznik rozštěpu je osmý embryonální (desátý gestační) týden.
Souvisí spolu výskyt různých typů vrozených rozštěpových vad plodu?
Nebyla dosud prokázána příčinná souvislost mezi vznikem obličejových rozštěpů, rozštěpových vad neurální trubice a břišní stěny. Každá z těchto vad vzniká poruchou vývoje jiných částí těla vyvíjejícího se plodu.
Jaké jsou příčiny vzniku vrozených obličejových rozštěpů?
Ke vzniku rozštěpové vady obličeje vede zpravidla společné působení více faktorů. V žádném případě si žádná těhotná žena nemůže klást za vinu, že obličejový rozštěp vznikl u plodu kvůli ní.
Předpokládá se vliv genetické predispozice v kombinaci s více faktory vnějšího prostředí.
Riziko vzniku obličejového rozštěpu je významně zvýšeno:
- při výskytu rozštěpové vady obličeje v rodinné anamnéze (čtyřprocentní riziko při postižení jednoho staršího sourozence rozštěpem rtu či rtu a patra, dvouprocentní riziko při postižení jednoho staršího sourozence izolovaným rozštěpem patra),
- při onemocnění těhotné ženy zarděnkami v prvním trimestru těhotenství,
- při onemocnění těhotné ženy cukrovkou a epilepsií s léčbou antiepileptiky obsahujícími valproáty,
- při léčbě tetracykliny, thalidomidem a při předávkování vitaminem A (předávkování nehrozí z běžné stravy),
- při kouření a/nebo alkoholismu těhotné ženy,
- u mnoha chromozomálních vad (trizomie 13,18 atd.),
- u mnoha genetických syndromů.
Je možné snížit riziko vzniku vrozených obličejových rozštěpů?
U rozštěpových vad obličeje byl v několika studiích prokázán pozitivní vliv kyseliny listové (vitamin B) na snížení výskytu těchto vad v populaci. Z tohoto důvodu se všem těhotným ženám doporučuje užívat v prvním trimestru těhotenství buď tablety s 0.4 mg kyseliny listové, nebo multivitaminové přípravky s obsahem 0.4 mg kyseliny listové. U plánovaných těhotenství je ideální zahájit užívání kyseliny listové již dva až tři měsíce před otěhotněním.
Zvláště důležité je užívání kyseliny listové u těhotných žen, u kterých bylo předchozí těhotenství komplikováno výskytem obličejového rozštěpu. Tyto ženy by měly ideálně již tři měsíce před plánovaným otěhotněním a během celého prvního trimestru těhotenství užívat dvakrát více kyseliny listové, než je doporučováno u běžných nerizikových těhotenství (tzn. 0.2 mg). Tím se sníží riziko opakování vady přibližně o 65 procent.
Pro zdravý vývoj plodu jsou obecně u každé těhotné ženy (i u ženy plánující těhotenství) důležité tyto zásady:
- Nekouřit.
- Dodržovat zásady zdravého jídelníčku.
- Zajistit dostatek kyseliny listové, vitaminu B6, vitaminu B12 a zinku (vhodné jsou multivitaminové přípravky pro těhotné ženy nebo tyto látky v samostatných tabletách, dostatečné množství těchto látek nelze bezpečně zabezpečit zdravým stravováním).
Jak lze vrozené obličejové rozštěpy v průběhu těhotenství diagnostikovat?
Existují dvě základní zobrazovací metody, kterými lze obličejový rozštěp rozpoznat, a sice ultrazvuk a magnetická rezonance. Obličejové rozštěpy není možné odhalit vyšetřením krve těhotné ženy (například triple testem), odběrem plodové vody (amniocentézou) ani jiným invazivním výkonem (odběrem choriových klků placenty – CVS, odběrem krve z pupečníku plodu – kordocentézou).
Základem pro vyšetření obličeje plodu je standardní dvojrozměrné (2D) ultrazvukové vyšetření (obrázek č. 3). Obličejové rozštěpy se při něm nejčastěji zjistí v období okolo 20. týdne těhotenství, kdy se u všech těhotných žen v České republice provádí screening vrozených vad plodu. V případě větších obličejových rozštěpů (oboustranný rozštěp rtu a patra) lze vadu často zachytit i dříve, a sice při ultrazvukovém screeningu Downova syndromu (takzvaný prvotrimestrální NT screening, NT plus screening) v jedenáctém až čtrnáctém týdnu těhotenství.
Úspěšnost rozpoznání jakéhokoliv vady plodu vždy závisí na zkušenostech vyšetřujícího odborníka a na kvalitě ultrazvukového zobrazení, která závisí na poloze plodu, „průhlednosti“ tkání těhotné ženy a kvalitě ultrazvukového přístroje.
Pokud je vysloveno podezření na výskyt obličejového rozštěpu, zpravidla je těhotná žena odeslána na ultrazvukové vyšetření do specializovaného centra. Zde je opět nejprve provedeno klasické dvojrozměrné (2D) ultrazvukové vyšetření. Ideální je navíc připojení troj- a čtyřrozměrného (3D/4D) ultrazvukového vyšetření, které zprostředkuje lepší informaci o oblasti patra plodu (obrázek č. 4). Navíc napomůže 3D/4D ultrazvukové zobrazení rodičům pochopit rozsah vady a o její vliv na vzhled obličeje jejich budoucího miminka (obrázek č. 5). Dalšího zpřesnění diagnostiky rozštěpové vady je možné dosáhnout rozšířením vyšetření o zobrazení magnetickou rezonancí (obrázek č. 6). Tato metoda se často provádí při podezření na výskyt rozštěpu u plodu nebo při nejasném nálezu při základním ultrazvukovém vyšetření u těhotné ženy, která je v úzkém příbuzenském vztahu s jedincem postiženým rozštěpem (matka či otec plodu, starší sourozenec plodu a podobně).
Nejpřesnější určení rozsahu a místa rozštěpu umožní kombinace všech zobrazovacích metod, ultrazvuku (dvoj- a troj-/čtyřrozměrného) a magnetické rezonance. Kombinaci všech těchto vyšetření však nepotřebují ženy s normálním nálezem při standardním dvojrozměrném ultrazvukovém vyšetření u zkušeného lékaře. U takových žen je totiž výskyt rozštěpové vady obličeje plodu velmi málo pravděpodobný. Rodiče by si také měli být vědomi toho, že pokud se objednají do nějakého centra na klasický komerční troj-/čtyřrozměrný ultrazvuk s DVD nahrávkou a fotkami, nemusí při tomto vyšetření dojít k odhalení obličejového rozštěpu ani jiných vrozených vad plodu. Toto vyšetření totiž není určeno k diagnostice vrozených vad a anatomie a morfologie vyvíjejícího se plodu při něm není detailně kontrolována.
Bohužel úspěšnost detekce obličejových vad plodu je v těhotenství nízká, u nerizikových těhotenství se těchto vad podaří rozpoznat přibližně polovinu. U rizikových těhotenství (například při výskytu vrozené vady obličeje u jiného člena rodiny nebo při diagnostice vrozené vady jiného orgánu u vyšetřovaného plodu) se daří zachytit těchto vad mnohem více, až téměř sto procent. Úspěšnost záchytu vady velice závisí na zkušenostech odborníka, na kvalitě přístrojového vybavení a na typu provedených vyšetření. Rozštěpy rtu je možno rozpoznat mnohem snadněji než rozštěpy patra. Izolované (samostatné) rozštěpy patra bez rozštěpu rtu se bohužel rozpoznají v těhotenství ojediněle, protože vyšetření celistvosti patra plodu je obtížné. Pokud je u plodu přítomen rozštěp rtu, patro se vyšetřuje detailněji a často se podaří rozpoznat defekt čelisti a tvrdého patra, občas i měkkého patra. Stoprocentní jistotu bohužel žádné vyšetření poskytnout nemůže, lze pouze s různě vysokou pravděpodobností předpokládat určitý nález.
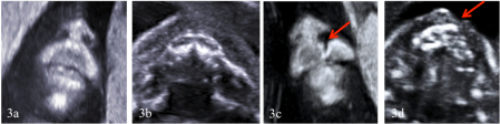
Obrázek č. 3.: Standardní dvojrozměrné (2D) ultrazvukové vyšetření rtu, čelisti a patra plodu ve druhém trimestru těhotenství. Normální nález na rtu v koronálním řezu obličejem plodu (3a) a na rtu, čelisti a patře plodu v transversálním řezu obličejem plodu (3b). Zobrazení malého rozštěpu rtu v koronální (2b) a transversální (2c) rovině vedené obličejem plodu. Šipky na obrázku 3c a 3d směřují k místu rozštěpu rtu.
(Foto: MUDr. Veronika Frisová, Profema)
Obrázek č. 4.: Trojrozměrné (3D) ultrazvukové vyšetření oblasti horního rtu, čelisti a patra plodu při ultrazvukovém vyšetření ve druhém trimestru těhotenství. Normální nález při takzvané multiplanární analýze (4a) a při 3D ultrazvukové rekonstrukci roviny vedené horním rtem, čelistí a patrem plodu (4b). Abnormální nález, respektive jednostranný rozštěp rtu zasahující až k čelisti při takzvané multiplanární analýze (4c) a při 3D ultrazvukové rekonstrukci roviny vedené horním rtem, čelistí a patrem plodu (4d). Šipky na obrázku 4c a 4d směřují k místu rozštěpu rtu.
(Foto: MUDr. Veronika Frisová, Profema)
Obrázek č. 5.: Trojrozměrná (3D) ultrazvuková rekonstrukce obličeje plodu. Normální obličej plodu s neporušeným rtem (5a) u plodu ve 22. týdnu těhotenství a abnormální nález, respektive rozštěp rtu (5b a 5c) u plodu v 21. týdnu těhotenství. Šipky na obrázku 5b a 5c směřují k místu rozštěpu rtu.
(Foto: MUDr. Veronika Frisová, Profema)
Obrázek č. 6.: Vyšetření magnetickou rezonancí u plodu s malým jednostranným rozštěpem rtu. Červená šipka směřuje k rozštěpu rtu, zelené šipky ukazují na intaktní ploténku patra plodu.
(Foto: MUDr. Veronika Frisová, Profema)
Je u vrozených obličejových rozštěpů častý výskyt dalších přidružených vrozených vad? Jakých?
Obličejové rozštěpy mohou být u plodu asociovány s chromozomální vadou a řadou genetických syndromů. Pravděpodobnost současného výskytu chromozomální vady nebo genetického syndromu záleží na velikosti a typu rozštěpu a na výskytu přidružených strukturálních vad. Chromozomální vada i genetický syndrom jsou velmi málo pravděpodobné při izolovaném (samostatně se vyskytujícím) jednostranném rozštěpu rtu, riziko jejich výskytu je však vysoké při oboustranném nebo při centrálním (mediálním) rozštěpu rtu, čelisti a patra (třicet až padesát procent). Toto riziko ještě více zvyšuje výskyt dalších strukturálních vad plodu.
Obličejové rozštěpy bývají občas sdruženy i s dalšími strukturálními vadami, riziko jejich výskytu opět úzce souvisí s typem a rozsahem rozštěpu. Je nízké u jednostranného rozštěpu rtu (čtrnáctiprocentní) a podstatně vyšší u oboustranných a centrálních (mediálních) rozštěpů rtu, čelisti a patra (čtyřicetiprocentní). K nejčastěji přidruženým typům strukturálních vrozených vad patří vrozené vady centrální nervové soustavy, obličeje a skeletu.
Je u vrozených obličejových rozštěpů vhodné provést invazivní výkon (nejčastěji aminocentézu)?
Vhodnost amniocentézy či jiného invazivního výkonu záleží na výši rizika postižení plodu chromozomální vadou, která je dána typem a rozsahem rozštěpu a výskytem dalších strukturálních vrozených vad. V případě malého jednostranného rozštěpu rtu bez další přidružené strukturální vady je riziko postižení plodu chromozomální vadou nízké a invazivní výkon není zpravidla rodičům doporučován. U rozsáhlejších rozštěpů a zvláště pak u centrálního (mediálního) typu rozštěpu nebo izolovaného rozštěpu patra je riziko výskytu chromozomálních vad plodu zvýšené a invazivní výkon je proto vhodné provést. Pouze invazivní výkon dovede totiž se stoprocentní jistotou vyloučit postižení plodu chromozomální vadou.
Genetické syndromy bohužel v těhotenství s naprostou jistotou vyloučit nelze. Výše rizika postižení plodu genetickým syndromem záleží na typu a rozsahu rozštěpu, na výskytu přidružených strukturálních vad a na přítomnosti stigmatizace (neobvyklý vzhled plodu).
Většina dětí s rozštěpovou vadou obličeje naštěstí žádnou chromozomální vadou ani genetickým syndromem postižena není. Souvisí to i s tím, že značná část těhotenství s postižením plodu mnohonásobnými strukturálními vadami v kombinaci s chromozomální vadou či genetickým syndromem spontánně zanikne.
Jaká je prognóza vrozených obličejových rozštěpů plodu?
Prognóza vrozených obličejových rozštěpů záleží na rozsahu a typu defektu a na výskytu přidružených vrozených vad. Je velmi dobrá u izolovaného (samostatně se vyskytujícího) jednostranného rozštěpu rtu, eventuálně i čelisti a patra. Zhoršuje se v případě oboustranných a mediálních kompletních rozštěpů rtu, čelisti a patra a nejhorší je při současném výskytu dalších přidružených vad plodu.
Díky recentním pokrokům v plastické chirurgii poskytujícím možnost časné korekce rozštěpu rtu krátce po porodu (okolo sedmého dne po porodu) nejsou v současné době malé izolované jednostranné rozštěpy rtu, rtu s čelistí a rtu s čelistí a patrem zpravidla důvodem k ukončení těhotenství. Péče o narozené děti s obličejovým rozštěpem je bohužel náročná a vyžaduje opakované návštěvy u řady dětských specialistů (plastického chirurga, stomatologa, ORL lékaře, logopeda, foniatra, případně i dalších). Výsledky jsou nakonec velmi dobré a větší děti s dobře vyléčeným, málo rozsáhlým obličejovým rozštěpem nelze často od ostatních (zdravých) dětí prakticky rozlišit.
Jaký je vhodný management těhotenství při diagnóze vrozeného obličejového rozštěpu plodu?
Pokud je v těhotenství zjištěn výskyt obličejového rozštěpu, je třeba na specializovaném pracovišti ultrazvukovým vyšetřením, eventuálně i magnetickou rezonancí, určit co možná nejpřesněji typ a rozsah obličejového rozštěpu a vyloučit výskyt dalších přidružených strukturálních vad plodu. Nejpřesnější informaci poskytne kombinace všech tří zobrazovacích metod, tedy 2D (dvojrozměrného) a 3D/4D (troj-/čtyřrozměrného) ultrazvuku a magnetické rezonance.
Následně by měli rodiče absolvovat konzultaci na pracovišti klinické genetiky a u plastického chirurga. Plastický chirurg vysvětlí rodičům, jaké jsou dostupné možnosti léčby, a informuje je o předpokládaném výsledku případných operací. Klinický genetik by měl seznámit rodiče s výší rizika postižení plodu chromozomální vadou a genetickým syndromem a prodiskutovat s nimi vhodnost invazivního výkonu (nejčastěji amniocentézy).
V případě mnohočetných vad plodu nebo při rozsáhlém obličejovém rozštěpu je rodičům klinickým genetikem často nabídnuta možnost ukončení těhotenství (možná z genetické indikace do 24. týdne a 0 dní těhotenství). I když se jedná o bolestné rozhodnutí, je pochopitelné, že může být toto řešení pro řadu rodičů metodou volby. Výsledky chirurgické korekce nemusí být vždy excelentní a navíc existuje významné riziko výskytu nějakého přidruženého genetického syndromu, který nelze s jistotou v těhotenství žádnou metodou vyloučit. Pokud se jedná o obličejový rozštěp menšího rozsahu a je jedinou vrozenou vadou plodu, může i nemusí být možnost ukončení těhotenství klinickým genetikem zmíněna. Tyto vady lze totiž v současné době dobře opravit metodami plastické chirurgie.
Rozhodnutí rodičů o případném ukončení těhotenství závisí zpravidla na rozsahu defektu a také na tom, zda již nějaké dítě mají, kolik je těhotné ženě let a jak snadno došlo k otěhotnění. Jde o velmi závažné rozhodnutí, které zpravidla nebývá snadné. Usnadnit jej může co možná nejpřesnější určení rozsahu rozštěpu spolu s trojrozměrným zobrazením vzhledu obličeje plodu a detailní konzultace očekávané prognózy vady s gynekology, genetiky a zvláště pak s plastickým chirurgem. Celkové výsledky operací plastickým chirurgem jsou v současné době velmi dobré, ale péče o dítě s rozštěpem je náročnější a vyžaduje opakované návštěvy různých lékařů.
Výhodou je v současné době v České republice dostupná možnost časné korekce defektu rtu krátce po porodu. Hojení rány je po časné korekci lepší než po pozdější operaci a navíc se děti s časně opraveným defektem rtu mnohem lépe začleňují do společnosti.
Jaké jsou možnosti léčby vrozených obličejových rozštěpů?
V současnosti je léčba rozštěpových vad v České republice soustředěna především do dvou rozštěpových centrech – se sídlem v Praze (Fakultní nemocnice Královské Vinohrady) a v Brně (Fakultní nemocnice Brno). Léčba probíhá komplexně a na odstranění rozštěpové vady se kromě plastického chirurga podílí i řada dalších odborníků (ORL lékař, foniatr, logoped, stomatolog a případně i další odborníci).
Původně se operace rozštěpů rtu prováděly ve věku tří až šesti měsíců po narození dítěte. Celosvětovým trendem začal však být v posledních let novější přístup, a sice metoda časné operace rtu, která se provádí již do sedmého dne po narození. Jizvy po této časné operaci nejsou na obličeji dítěte takřka rozpoznatelné. Navíc jsou tyto děti prakticky ihned přikládány k prsu a mohou být i plně kojeny. Při této časné operaci jsou dětem do nosu zaváděny takzvané nostrilky – silikonové fixátory nosních dírek, které podpírají nos a napomáhají tomu, aby byl rovný a symetrický. Tyto fixátory děti nosí většinou pouze během prvního roku po narození.
Operace rozštěpu v oblasti patra se provádí v kojeneckém věku, přibližně desátý měsíc po narození. Čelist se uzavírá nejpozději, a sice až u dětí krátce po nástupu do školy (většinou ve stáří okolo osmi let věku).
Jaké je riziko opakování vrozených obličejových rozštěpů?
V případě diagnostiky vrozeného obličejového rozštěpu rtu, rtu s čelistí nebo rtu s čelistí a patrem stoupá riziko opakování vady v dalším těhotenství přibližně na čtyři procenta. U izolovaného rozštěpu patra se riziko pro opakování vady v následujícím těhotenství pohybuje okolo dvou procent. Toto riziko lze snížit o přibližně 65 procent užíváním kyseliny listové (vitamin B) v dávce 0.2 mg/denně matkou, s počátkem medikace ideálně již dva až tři měsíce před plánovaným otěhotněním.
Zaujal Vás článek a chcete pravidelně dostávat informace o nových příspěvcích? Přihlaste se k odběru newsletteru a sledujte nás na facebooku.
Odebírat newsletter Sledovat na Facebooku
Tipy na další zdroje informací
Zaujalo vás toto téma? Máme pro vás tipy na další zdroje zajímavých informací z naší elektronické Odborné knihovny. Kromě knižních titulů vám nabízíme související výzkumy, legislativní dokumenty nebo audio- a videozáznamy z českých rádií a televizí. Jednoduše klikněte na knížku nebo záznam, který vás zaujal, a dozvíte se více. Další související literaturu najdete v naší Odborné knihovně.
Výzkumy
Embryo screening could help parents avoid passing on inheritable diseases. CORDIS (Community Research and Development Information Service), 2011.
Audiozáznamy
- Prenatální diagnostika - MUDr. Ondřej Šimetka. Radio, ČRo Ostrava - Lékárna, 2012.
- Nejčastější chirurgicky léčené vrozené vady dětí - MUDr. Michal Rygl. Radio, ČRo 2 Praha - Rodinný lékař, 2010.
- Vše o těhotenství - MUDr. Jitka Řezáčová a MUDr. Eva Raušová. Radio, ČRo Regina - Třináctka, 2008.
Videozáznamy
- O prenatální diagnostice s MUDr. Veronikou Frisovou, Ph.D. Videozáznam, Nadace Sirius, 2013.
- Inkubátory a centrum rozštěpů - MUDr. Jan Janota. TV, Česká televize - Sama doma, 2010.
- Poradna pro rodiče dětí s rozštěpem - MUDr. Jitka Vokurková a Tereza Stehlíková. TV, Česká televize - Sama doma, 2009.
- Pobyt rodičů s dětmi v nemocnici - Operace rozštěpů patra u novorozenců. TV, Česká televize - Sama doma, 2007.
- Vývojové vady plodu - doc. MUDr. Zbyněk Straňák. TV, Česká televize - Sama doma, 2006.
- Jak se žije s handicapem. TV, Česká televize - Tykadlo, 2006.
- Vady u dětí - doc. MUDr. Zuzana Urbanová, CSc. TV, Česká televize - Sama doma, 2006.
- Základní informace o problematice rozštěpu obličeje. Videozáznam, Občanské sdružení Šťastný úsměv, 2013.
- Rozštěp obličeje a jeho léčba. Videozáznam, Občanské sdružení Šťastný úsměv, 2014.
Odkazy na sdružení rodičů dětí s vrozeným obličejovým rozštěpem:
Pomohly vám informace v tomto článku?





